약물치료
주사치료
체외충격파치료
도수치료
비수술적 치료 위주로 치료하며, 시기를 놓쳐
굴곡 구축이 남는 경우가 없도록 적절히 수술 시기를 결정합니다.
발목 연골은 발목 뼈의 끝부분을 덮고 있는 매끄럽고 탄력적인 조직으로, 뼈와 뼈 사이의 마찰을 줄여
부드러운 움직임을 가능하게 하고 충격을 흡수하는 역할을 합니다.
걷거나 뛰는 등의 활동 시 발목 관절에 가해지는 충격을 완화시켜 주고, 관절의 안정성을 유지하는 데 중요한 역할을 합니다.

다양한 원인으로 인해 발목 관절의 연골이 손상되는 것을 말합니다.
손상 정도는 얕은 균열부터 깊은 파열,
연골 조각이 떨어져 나가는 경우까지 다양합니다.

발목 염좌, 골절, 탈구 등 급성 외상으로 인해 연골이 손상될 수도 있으며, 과도한 사용으로 인해 발목 관절에 반복적인 충격이 가해지면
연골이 손상이 될 수 있습니다.









비수술 치료
약물치료
주사치료
체외충격파치료
도수치료
관절경 치료
관절경하 미세 천공술
연골 재생술
콜라겐 혹은
줄기세포 주입술



관절경을 통하여 손상된 연골 부위를 정리하고 뼈에 작은 구멍을
여러 개 뚫어서 연골 재생을 유도하는 방법입니다.
섬유성 연골로 재생되나 미세 천공술 단독으로도
특히 발목에는 효과가 좋습니다.

미세천공술과 함께 시행되며 미세천공술의 연골 재생 능력을
극대화 하기 위하여 재료를 공급하는 개념입니다.
섬유성 연골이 아닌 초자 연골로의 재생을 돕기 위하여 시행하게 됩니다.

연골 손상이 있는 부위에 작은 구멍을 여러 개 내준 후, 골수에서부터 좋은 피가 잘 올라오는 것을 확인합니다.
연골 재생술을 같이 하는 것이 계획되었다면 콜라겐 혹은 줄기 세포로 결손부위를 도포해줍니다.
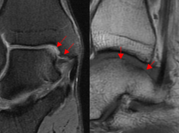
* 환자에게 받은 소중한 자료입니다.
거골의 내측부 연골 병변에 대해서 관절경을 통해 미세천공술과 콜라겐 주입술을 시행하였으며,
수술 5개월째 결손 부위에 연골이 잘 생성되어 있는 소견이 관찰되었습니다.