정확한 진단을 통하여 무조건 비수술적 치료, 무조건 수술적 치료가 아니라
환자의 상태에 맞는 최선의 치료를 선택할 수 있게 합니다.
무릎 외래 교수 전문의 무릎 재생술, 십자인대 재건술, 반월상 연골판 수술부터 비수술 치료와 회복 관리까지 책임집니다.
풍부한 경험과 전문성을 갖춘 무릎 전문의가 정밀 검진과 정확한 진단을 통해 환자에게 꼭 맞는 치료법을 제시합니다.

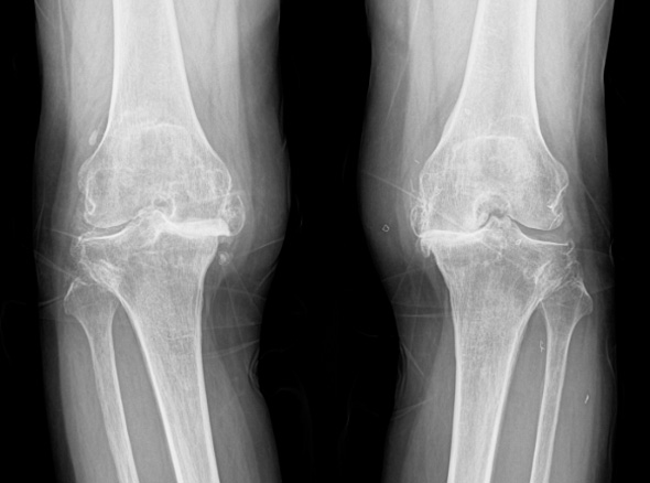
관절 마모 정도가 심하고 통증이 심한 환자분들은 재활치료나 약물만으로는 치료가 어려운 경우가 있습니다.
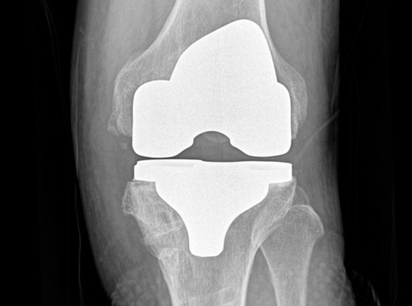
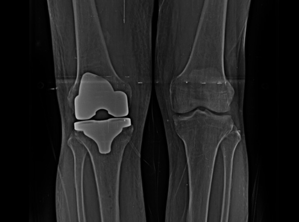
손상된 무릎 뼈를 제거하고, 그 부위에 특수 소재의 금속 재질로 구성된 인공관절을 삽입하는 수술을 시행할 수 있습니다.
관절연골이 망가져 쓸 수 없을 때 관절기능 회복을 위해 시행하며, 인공관절의 수명은 20~30년 정도 됩니다.




인공관절수술은 이러한 환자분들을 대상으로 시행하는 수술로
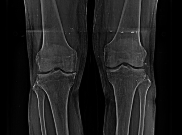
정밀검진 및 검사를 통해 관절 손상정도를 면밀히 파악하고 꼭 필요한 경우에만 수술을 진행합니다.

노화로 인해 연골이 닳아 통증,
운동 제한이 발생하는 경우
(계단 오르내리기, 구부리기, 쪼그려 앉기 등)

자가면역질환으로
관절 염증이 심한 경우

골절이나 심한 관절 손상으로
정상적인 기능이 어려운 경우

혈액 공급 장애로 인해
관절 조직이 괴사된 경우
무수혈 원칙으로 수혈로 인한 감염 예방
빠른 재활과 회복에 도움
관절 내 직접 약물 주입으로
통증완화 및 통증제거
피주머니를 쓰지 않아 혈액이
빠져나가지 않아 빠른 회복 및 합병증 예방



세계적인 의료기기 기업 스트라이커(Stryker)사의 특화된 임플란트를 사용합니다.
정밀한 설계, 내구성, 생체 적합성 등의 장점을 두루 갖추어 전 세계적으로 가장 많이 사용되고 있습니다.

퇴행성관절염은 치료의 시기가 매우 중요합니다.
한번 진행이 시작되면 피하기가 어려워 치료가 빠를수록 진행을 최대한 늦출 수 있습니다.
인공관절 수술은 진행이 악화되어 더 이상 약물로 치료할 수 없을 때 시행하는 최후의 방법입니다.
초기에는 수술이 아닌 비수술 치료만으로 생활에 불편함이 없도록
통증을 완화시키고 증상을 충분히 완화시킬 수 있습니다.
중기에는 비수술치료를 진행하고, 증상이 악화되는 경우 정상 조직을 최대한 보존하고 병변부위만 선택적으로 수술하는 관절내시경을 진행하게 됩니다.
말기의 퇴행성 관절염 환자에게 인공관절 수술은 최후의 수단으로 시행됩니다.
최대한 가볍고 오래 사용 가능하며 알러지를 거의 유발하지 않는 인공관절을 사용합니다.