체외충격파치료
재활치료
정확한 진단을 통하여 무조건 비수술적 치료, 무조건 수술적 치료가 아니라
환자의 상태에 맞는 최선의 치료를 선택할 수 있게 합니다.
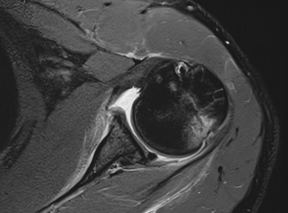
어깨가 가볍게 빠지는 증상, 어깨와 팔꿈치 사이에 있는
상완골이 어깨뼈에서 빠져나오는 증상을 어깨 탈구라고 합니다.
상완골두의 울타리 역할을 하는
관절와순 순상이 동반되는 경우도 있습니다.
어깨는 운동범위가 가장 넓은 만큼 끊임없이 수축하고 긴장하게 됩니다.
이 때문에 안정을 유지하기 쉽지 않아 불안정함을 유발합니다.
젊은 층에서 외상으로 인해 발생하게 되면 재발이 많이 됩니다.




팔을 돌리다가 충격을 받은 경우
외상으로 인해 발생하는 경우
스포츠 활동으로 발생하는 경우
넘어지면서 손을 바닥에 잘못 짚은 경우
격렬한 움직임을 하거나 외부에서 강한 충격을 받을 때 발생하는 경우가 많습니다. 특히 팔을 강하게 뻗거나 어딘가에 매달리는 동작을 할 때, 넘어지면서 손을 바닥으로 짚어 팔이 크게 밀리는 부상 등이
어깨 탈구의 원인이 됩니다.


운동 장애를
불러올 수 있습니다.

외회전 자세를 할 때
불안정성을 느낄 수 있습니다.

특정 동작 시 통증이
유발됩니다.



비수술 치료
체외충격파치료
재활치료
수술적 치료
관절와순 봉합술
관절낭 중첩술


관절 내시경을 통해 파열된 관절와순을 정상적인 모양으로 봉합하여 제 기능으로 회복시켜 줍니다.

이러한 경우
관절와순 봉합술을
고려합니다.
재발성 탈구(2회 이상)인 경우
첫 탈구이나 관절와순이 전위되어 있어
재탈구 가능성이 높은 경우
운동선수나 스포츠 매니아는 적극적으로 고려해야 함
관절 내시경을 통해 늘어나 있는 관절낭을 알맞은 긴장도를 갖도록 봉합하여 줍니다.
이러한 경우
관절낭 중첩술을
고려합니다.
다방향성 불안정증