약물치료
주사치료
체외충격파치료
교정기 치료
비수술적 치료 위주로 치료하며, 시기를 놓쳐
굴곡 구축이 남는 경우가 없도록 적절히 수술 시기를 결정합니다.
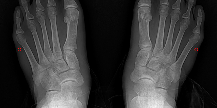
소건막류는 새끼발가락 관절의 뿌리 부분이 바깥쪽으로 튀어나오면서 발생하는 변형입니다.
이 튀어나온 부분이 신발과 마찰을 일으켜 통증, 염증, 굳은살 등을 유발할 수 있습니다.
엄지발가락이 휘면서 돌출되는 무지외반증처럼 새끼발가락쪽에 외반 변형이 생긴 것을 의미합니다.


소건막류의 원인은 다양하지만
가장 흔한 원인은 유전적인 요인입니다. 가족 중에 소건막류가 있는 경우 발병 가능성이 높아집니다.
굽이 높거나 폭이 좁은 신발을 자주 착용하는 것도 소건막류의 원인이 될 수 있습니다.
이러한 신발은 발에 압력을 가하고 발가락을 비정상적인 위치에 놓이게 하여 변형을 유발할 수 있습니다.
이외에도 평발, 류마티스 관절염, 외상 등이 소건막류의 원인이 될 수 있습니다.

새끼발가락 관절의 통증

신발을 신었을 때 통증이 심해지며, 걷거나 서 있을 때 불편함을 느낌

튀어나온 부분에 염증이 생기거나 굳은살이 박힘

심한 경우 새끼발가락이 다른 발가락 쪽으로 휘어지거나 겹칠 수 있음



비수술 치료
약물치료
주사치료
체외충격파치료
교정기 치료
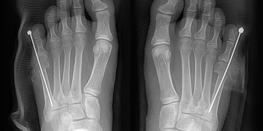
SERI 수술법
최소 침습적
소건막류 교정술
개방적 방법
원위 중족골 절골술
관절 유합술



작은 구멍을 통해 초음파 절골기를 이용하여 뼈를 절골합니다.
중등도 이상의 큰 각도의 소건막류에도 충분히 적용이 가능합니다.
빨간 포탈을 이용하여 초음파 절골기를 삽입하여 절골을 하고 핀을 삽입합니다.
핀은 바깥으로 빼어 놓고, 6-8주째 외래에서 간단하게 제거합니다.
* 환자에게 받은 소중한 자료입니다.
개방형 원위 절골술의 경우 절골 방법은 SERI 와 비슷하지만
조금 더 안정적이고 절개가 크지 않으면서 연부조직의 처리가 같이 가능하기 때문에 필요한 경우 적용할 수 있습니다.