정확한 진단 수술이 없는 보존적 치료를 추구합니다.
부모님이 무지 외반증을 가지고 있을 때, 발볼이 넓은 유연한 발을 가지고 있을 때 무지외반의 발병이 흔하며,
청소년기에 보이는 무지 외반증은 유전적인 요인 때문이라고 볼 수 있습니다.

뼈의 변형이 원인이기 때문에 교정기 등은 효과가 없는 것으로 알려져 있으며,
증상 호전을 위해 발볼이 넓은 신발을 신는 등의 교정을 먼저 시도해볼 수 있습니다.
만약 증상이 심하고 호전되지 않을 때 수술적 치료를 고려하게 됩니다.


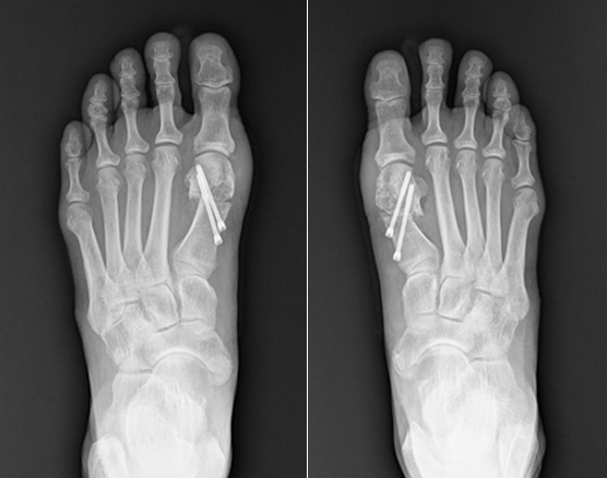
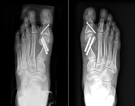
MICA, minimally invasive Chevron & Akin osteotomy
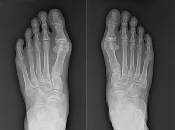
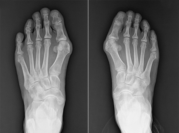
이전에는 무지외반 수술은 5cm 이상 피부를 절개하고 뼈를 싸고 있는 골막을 절개하여 수술을 하였습니다.
그래서 무지외반 수술은 통증이 심한 수술에 속하였지만
비절개 무지외반 교정술을 시행하고 나서는 획기적으로 회복 속도가 빨라졌고,
골막을 절개하지 않기 때문에 수술 후 통증도 많이 줄었습니다.
비절개 무지외반 교정술은 나사와 절골침이 들어갈 정도의 작은 구멍만 내고 하는 수술로 흉터는 낫고 나서는
거의 점처럼 보입니다. 수술 다음 날부터 큰 통증 없이 딛고 걸어 다니는 것도 가능합니다.